عن المشروع
للتبرع - donate
العلم في هذا الشهر
مشروع التطور بالعربية
انضم إلينا
Home
About
Services
Projects
Pages
Blog
Contact
الرئيسية
>
طب وصحة
>
صفحة المقال
>
الملف الشخصي للكاتب
أمير محمد
1 عمل
الأعمال
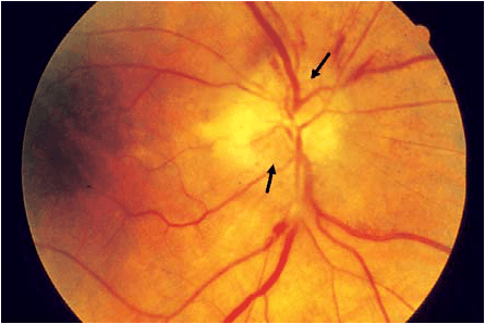
الاعتلال العصبي البصري الأمامي AION: الأسباب والأعراض والتشخيص والعلاج
31 يوليو ، 2019
•
365 مشاهدة
•
0 اعجاب