عن المشروع
للتبرع - donate
العلم في هذا الشهر
مشروع التطور بالعربية
انضم إلينا
Home
About
Services
Projects
Pages
Blog
Contact
الرئيسية
>
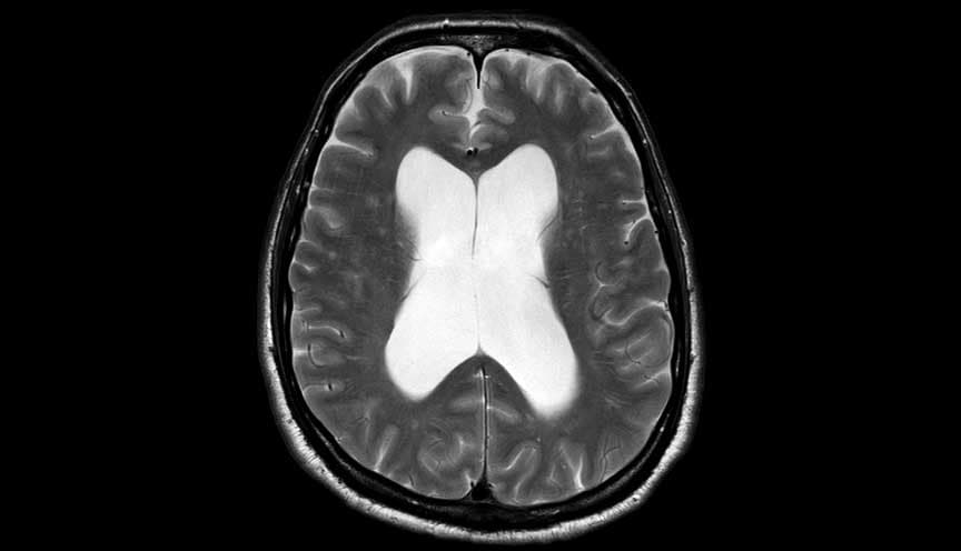
استسقاء الرأس سوي الضغط
استسقاء الرأس سوي الضغط
استسقاء الرأس سوي الضغط (NPH)
3 مارس ، 2020