• عن المشروع
  • للتبرع - donate
  • العلم في هذا الشهر
  • مشروع التطور بالعربية
  • انضم إلينا
  • Home

  • About
  • Services

  • Projects

  • Pages

  • Blog

  • Contact
Logo
الرئيسية>التنكس العصبي

التنكس العصبي

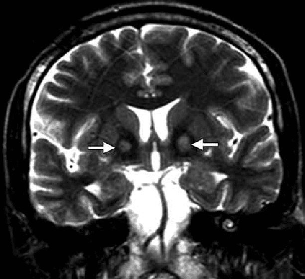
متلازمة هالرفوردن سباتز: الأسباب والأعراض والتشخيص والعلاج

متلازمة هالرفوردن سباتز: الأسباب والأعراض والتشخيص والعلاج

2 فبراير ، 2024
  • عن المشروع
  • للتبرع - donate
  • العلم في هذا الشهر
  • مجلة وسع صدرك
  • انضم إلينا
  • سياسة الخصوصية

© جميع الحقوق محفوظة - موقع أنا أصدق العلم-Apollo Solutions