• عن المشروع
  • للتبرع - donate
  • العلم في هذا الشهر
  • مشروع التطور بالعربية
  • انضم إلينا
  • Home

  • About
  • Services

  • Projects

  • Pages

  • Blog

  • Contact
Logo
الرئيسية>عدوى جرثومية

عدوى جرثومية

المستدمية النزلية من النوع ب: العدوى والأعراض والتشخيص والعلاج واللقاح

المستدمية النزلية من النوع ب: العدوى والأعراض والتشخيص والعلاج واللقاح

12 يناير ، 2023
الورم الوعائي العصوي: الأسباب والأعراض والتشخيص والعلاج

الورم الوعائي العصوي: الأسباب والأعراض والتشخيص والعلاج

7 يونيو ، 2022
عدوى المثانة

عدوى المثانة

2 مايو ، 2020
الالتهاب الرئوي الجرثومي: الأسباب والأعراض والتشخيص والعلاج

الالتهاب الرئوي الجرثومي: الأسباب والأعراض والتشخيص والعلاج

24 أكتوبر ، 2019
السعال الديكي أو الشاهوق: الأسباب والأعراض والتشخيص والعلاج

السعال الديكي أو الشاهوق: الأسباب والأعراض والتشخيص والعلاج

10 أكتوبر ، 2019
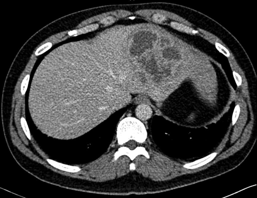
خراج الكبد القيحي (PLA): الأسباب والأعراض والتشخيص والعلاج

خراج الكبد القيحي (PLA): الأسباب والأعراض والتشخيص والعلاج

18 يوليو ، 2019
  • عن المشروع
  • للتبرع - donate
  • العلم في هذا الشهر
  • مجلة وسع صدرك
  • انضم إلينا
  • سياسة الخصوصية

© جميع الحقوق محفوظة - موقع أنا أصدق العلم-Apollo Solutions