• عن المشروع
  • للتبرع - donate
  • العلم في هذا الشهر
  • مشروع التطور بالعربية
  • انضم إلينا
  • Home

  • About
  • Services

  • Projects

  • Pages

  • Blog

  • Contact
Logo
الرئيسية>أمراض الدماغ

أمراض الدماغ

تحذير العلماء: تزايد أمراض الدماغ مع تفاقم تغير المناخ

تحذير العلماء: تزايد أمراض الدماغ مع تفاقم تغير المناخ

26 نوفمبر ، 2024
حدد العلماء جينات جديدة لخطر الإصابة بالفصام في دراسة هي الأولى من نوعها

حدد العلماء جينات جديدة لخطر الإصابة بالفصام في دراسة هي الأولى من نوعها

5 أبريل ، 2023
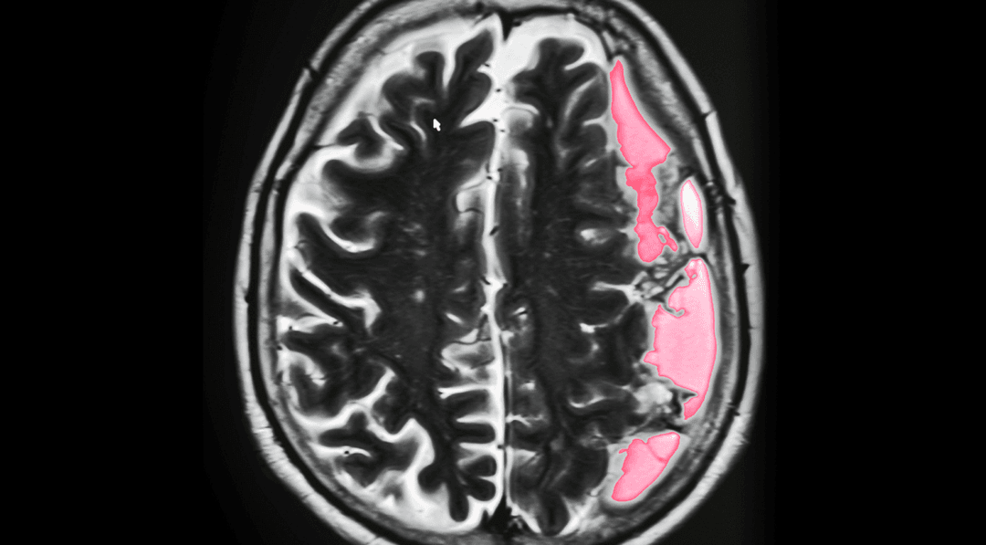
النزف تحت العنكبوتية: الأسباب والأعراض والتشخيص والعلاج

النزف تحت العنكبوتية: الأسباب والأعراض والتشخيص والعلاج

9 ديسمبر ، 2019
النزف تحت الجافية: الأسباب والأعراض والتشخيص والعلاج

النزف تحت الجافية: الأسباب والأعراض والتشخيص والعلاج

9 ديسمبر ، 2019
  • عن المشروع
  • للتبرع - donate
  • العلم في هذا الشهر
  • مجلة وسع صدرك
  • انضم إلينا
  • سياسة الخصوصية

© جميع الحقوق محفوظة - موقع أنا أصدق العلم-Apollo Solutions