عن المشروع
للتبرع - donate
العلم في هذا الشهر
مشروع التطور بالعربية
انضم إلينا
Home
About
Services
Projects
Pages
Blog
Contact
الرئيسية
>
ضوء
ضوء
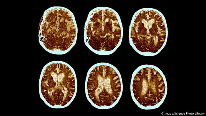
إزالة مسببات ألزهايمر من أدمغة الفئران باستخدام الصوت والضوء فقط
7 يناير ، 2020
لأول مرة على الإطلاق، ينتج العلماء ضوءًا ذا نمط هندسي متكرر من الليزر !
28 فبراير ، 2019
كم تبلغ سرعة توسع الكون ؟ الكون يتوسع اسرع من سرعة الضوء !
23 مايو ، 2013
ما هي الكتلة ؟ و من أين تأتي ؟
9 يونيو ، 2016
ما الفرق بين انعكاس الضوء من على ورقة بيضاء وانعكاسه على مرآة؟
17 يناير ، 2015
تقنية جديدة تمكّن العلماء من قراءة و كتابة النشاط الدماغي باستخدام الضوء
1 يناير ، 2015
تاريخ الضوء
19 سبتمبر ، 2015
النور يسود رغم الظلام - نشأة الكون - الجزء الثالث
5 مايو ، 2016
الذاكرة الضوئية، التقنية الواعدة لرفع أداء الحواسيب وتقليل استهلاك الطاقة
16 أكتوبر ، 2015
إستخدام فن ياباني في الألواح الشمسية لِتحسينها
21 سبتمبر ، 2015
فيزيائيون: انتاج جزيئات من الضوء أمر ممكن
17 سبتمبر ، 2015
مهندسون يبتكرون جلدًا صناعيًا شبيهًا بجلد الحرباء، يتغير لونه عند الطلب
27 مارس ، 2015
سرعة الضوء في الفراغ قد لا تكون ثابتة!!
26 يناير ، 2015
حتى الضوء قد لا يعيش للأبد !
22 يوليو ، 2014